ส่งอีเมลถึงเรา
โซลูชันเวิร์กโฟลว์เทียม

โซลูชันเวิร์กโฟลว์เทียม

โซลูชั่นเทียมสัญญาบุคลิกลักษณะพิเศษและการทำงานที่ดีขึ้นเรานำเสนอฟันฟันปลอมในอุดมคติด้วยการออกแบบเฉพาะสำหรับความต้องการของช่าง

ประโยชน์ของโซลูชันเวิร์กโฟลว์เทียม

  • เสถียรภาพและการเก็บรักษาที่ดีขึ้น

  • เพิ่มความสามารถในการเคี้ยว

  • เพิ่มความสบาย

  • การเก็บรักษาความหนาแน่นของกระดูก

  • ความทนทานในระยะยาว

  • ปรับปรุงสุนทรียศาสตร์และความสะดวกสบายในการบำรุงรักษา

เวิร์กโฟลว์ของโซลูชันเวิร์กโฟลว์เทียม

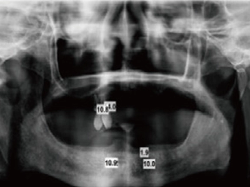
1. Take X-ray
1. Take X-ray

ใช้ X-ray และ decidethe ตำแหน่งตำแหน่งสำหรับรากฟันเทียม

2.วางรากเทียมลงในกระดูก
2.วางรากเทียมลงในกระดูก

วางรากเทียมภายในกระดูกและเพิ่มแพลตฟอร์มระบุตำแหน่ง

3.รับความประทับใจ
3.รับความประทับใจ

สร้างความประทับใจและวางฟันปลอมที่รองรับลงบนโมเดล

4.ทำฟันปลอม
4.ทำฟันปลอม

ทำฟันปลอมด้วยรูสำหรับรากเทียม

ผลิตภัณฑ์สำหรับเด็ก
หาพวกเรา

เราขอเชิญคุณติดต่อกับเรา เพียงส่งข้อความถึงเราหรือโทรหาเรา

US Customer Service Manager:

Contact: Gabriella

E-mail: marketing@vincismile.com

Phone: 1-626-283-5808


Online Inquiries or Sales Questions:
US Inside Sales Manager:
Contact: Adrian
Phone: 1-626-400-1204

Email: adrian.r@nobildent.com

โซลูชั่นทางทันตกรรม vincismile ที่เกี่ยวข้อง
เมื่อใดก็ตามที่คุณต้องการเราต้องการให้ทางออกที่ดีที่สุดสำหรับคุณ
ติดต่อเราได้เลย